banner

胃部病变1例

2022-11-21 10:56

  年龄:76岁
  性别:男性
  一般病史:
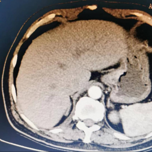
  临床资料:患者男性,76岁,主诉:“呕血6天,确诊胃癌2天。”患者于6天前无明显诱因出现呕血,量约20ml,伴乏力,无腹痛、腹胀,无发热。患者于当地医院行胃镜+病理检查示:胃腺癌。遂来我院进一步治疗,腹部CT示:贲门胃小弯侧胃壁增厚,局部较明显欠均匀强化,考虑Ca(图a)。入院完善相关检查予手术治疗。
图a 腹部CT示胃小弯侧胃壁增厚
  病理学检查
  大体所见:部分胃组织,大弯长33.0cm,小弯长7.0cm,于胃小弯侧贲门处见一溃疡型肿物,大小3.5cmx3.0cmx1.5cm,切面灰白质硬,侵及全层。
  光镜所见:
图1.低倍镜下可见肿瘤细胞染色浅淡,呈腺管状、乳头状、筛状或实性片状生长。
图2.中倍镜下可见肿瘤细胞胞质丰富透明或略嗜酸,类似于胚胎发育时期肠黏膜上皮,间质可见较多淋巴细胞浸润。
图3.高倍镜下可见肿瘤细胞呈腺管状、巢团状生长,胞质丰富透亮或略嗜酸,细胞核呈圆形、卵圆形,核透亮,可见核仁。
图4.高倍镜下可见肿瘤细胞呈实性、巢团状生长,细胞界限清晰,胞质丰富透亮,细胞核呈圆形、卵圆形,核染色质中等粗细。
  免疫组化结果:肿瘤细胞呈AFP(+),SALL-4(+),Glypican-3(+),CD10(灶状+),CDX-2(灶状+),Her-2(0), MSH6(+),MSH2(+),MLH1(+),PMS2(+),S-100(神经侵犯+),CD31(-),Ki-67(30%+)。
  免疫组化:
  病理诊断:(胃)伴肠母细胞分化的胃腺癌
  讨论:伴肠母细胞分化的胃腺癌(GAED)是一种罕见的胃腺癌类型,也称为透明细胞胃腺癌或者胎儿型肠样腺癌, 是一种具有原始肠上皮结构和分化表型的腺癌,常伴血清AFP的升高,与普通型胃腺癌相比,GAED脉管侵犯更多见,淋巴结和肝脏转移率高,预后极差,应引起重视。
  临床特点:GAED多见于中老年人(59-85岁,平均年龄73岁),男性多见(男:女=23:6),临床表现无特异性,多为腹痛、呕血、黑便等消化系统症状。影像学上,GAED多表现为胃壁不规则增厚,或呈明显的占位性病变,增强后不均匀强化,可有淋巴结肿大。
  病理学检查
  大体:GAED大体检查类似于普通胃腺癌,以溃疡型肿物多见,其次为隆起型肿物,肿瘤最大径1.5~9.5cm(中位最大径6.0cm)。
  组织学:肿瘤细胞排列成管状、乳头状、筛状、腺样结构,也可呈实性、巢团状生长,胞界相对清晰,具有特征性透明或略嗜酸性胞质,类似于妊娠早期(2~4个月)胎儿肠样结构,胞质丰富,富含糖原,细胞核呈圆形、卵圆形,核染色质中等粗细,或者核透亮,可见核仁;间质可见较多淋巴细胞浸润;脉管侵犯及淋巴结转移极常见;同一病例中GAED往往与普通型胃腺癌混合存在,也可见神经内分泌肿瘤、卵黄囊瘤样胃癌、肝样腺癌成分。
  免疫表型:肿瘤细胞表达SALL4、 Glypican-3、AFP、CDX2、CD10。
  分子改变:研究发现约70%GAED具有TP53基因突变,约20-30%具有HER2基因扩增。
  鉴别诊断
  1.肝样腺癌:与GAED的形态学和免疫表型有重叠,肝样腺癌常排列成实性、小梁状,瘤细胞呈多角形、肝细胞样,胞质丰富嗜酸、颗粒状,一般弥漫强表达AFP、 Glypican-3、SALL4、HepPar-1,而不表达 claudin6、CD10和CDX2。
  2.卵黄囊瘤样胃癌:极其罕见,以微囊样、星网状、裂隙样及乳头状结构为主,特征性结构是所谓的,Schiller-Duval小体,细胞扁平或立方,胞质透明、嗜酸性,也可表达癌胚蛋白(AFP、 Glypican-3、SALL4)。
  3.普通型胃腺癌:也可表现管状、乳头状结构,但一般不具有透明清晰的胞质,一般不表达癌胚蛋白(AFP、 Glypican-3、SALL4),而表达(Pan-CK、CK20、CDX-2)。
  4.转移性透明细胞癌:结合病史及免疫表型可以诊断,如透明细胞肾细胞癌(表达PAX-8、CD10、Vim、EMA)、透明细胞型肝细胞癌(表达Hep-par-1、AFP、 Glypican-3,不表达SALL4)。
  治疗:主要以根治性手术切除为主,对转移患者辅以化疗。HER2扩增患者,选择曲妥珠单抗,可以改善HER2阳性患者的总生存率,另外DNA甲基转移酶(DNMT)在肿瘤发生中发挥着重要作用,目前也被认为是各种癌症的治疗靶点,其抑制剂已经开始应用于临床。
参考文献:
1. WHO Classification of Tumours Editorial Beard. WHO cassification of tumours of the digestive system. 5th, Lyon: IARC Press, 2019.
2. Kuroda N,Yorita K.Clinicopathologic study of 10 cases of gastric adenocarcinoma with hepatoid or enteroblastic differentiation.Pol J Pathol,2018,69(2):128-135.
3. Murakami T,Yao T,Mitomi H,et al. Clinicopatgologic and immunohistochemical characteristics of gastric adenocarcinoma with enteroblastic differentiation: a study of 29 cases.Gastric Cancer,2016,19(2) : 498-507.
4. 苟思琪,张前,方媛,等。伴有肠母细胞分化胃腺癌临床病理分析. 临床与实验病理学杂志, 2020,36(1):6-10.
5.李解珍,黄海建,陈小岩等.伴肠母细胞分化的胃腺癌12例临床病理学分析. 中华病理学杂志, 2021, 50(6): 626-631.

[责任编辑:dengying]

分享到