banner

胰腺实性假乳头状肿瘤

2024-08-02 16:31

病史介绍
患者,女,34岁,患者自诉一周前在当地医院行腹部CT检查发现胰腺占位,期间未出现腹痛,无恶性、呕吐、呕血、便血等症状,既往有“干燥综合征”病史,无恶性肿瘤家族史,门诊以“胰腺占位”收入院。

专科检查:腹部平坦,未见胃型及蠕动波,无腹壁静脉曲张,全腹无明显压痛,无腹肌紧张,腹部未触及肿块,移动性浊音阴性。

辅助检查
腹部CT示:胰体、尾部可见大小约5.3cmx5.0cm的囊实性肿块影,其内可见钙化灶,肿瘤边界清楚,实性部分呈中度强化,周围未见肿大的淋巴结。

大体检查
淡黄色胰腺组织一块,大小9.2cmx6.4cmx5.0cm,切开见一大小6.5cmx6.0cmx5.0cm的囊实性肿块,肿块界限清楚,有包膜,部分包膜可见钙化灶,切面暗红色,局部呈胶样。

镜下所见
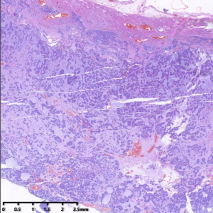
低倍镜下肿物具有厚的纤维包膜,肿瘤由实性巢状结构、假乳头结构及出血区域组成,部分区域间质黏液变性。实性区呈片状或大小不一的巢状,假乳头状区为分枝状乳头,含纤维血管轴心,乳头表面细胞黏附性较差,脱落。肿瘤细胞形态温和,大小一致,核圆形或卵圆形,核染色质细腻,轻度异型性,核分裂少见,无肿瘤性坏死。
 
 




 
低倍镜,肿瘤具有厚的纤维性包膜及多样的组织学结构,由实性巢状区域、假乳头区域及出血区域组成,间质黏液变性,部分区域囊性变。
 
 




 
中倍镜,实性区域呈实性片状或大小不一的巢状,假乳头状区为分枝状乳头,乳头表面细胞黏附性较差,脱落明显。
 

 
高倍镜,肿瘤细胞形态温和,大小较一致,胞质丰富嗜伊红,细胞核卵圆形,无明显核仁及核分裂象。
 
免疫组化特征
Vimentin(+)、β-catenin(核、浆+)、Syn(+)、CyclinD1(部分+)、CD10(+)、CD56(部分+)、E-cadherin(-)、CgA(-),Ki67阳性指数约3%。
 
Vimentin(+)
 
CD10(+)
 
β-catenin(核、浆+)
 
CD56(部分+)
  
CgA(-)
 
病理诊断胰腺实性假乳头状肿瘤
 
讨论:
1. 定义:
胰腺实性假乳头状肿瘤(solid pseudopapillary neoplasm, SPN)是一种少见的胰腺低度恶性上皮性肿瘤,肿瘤细胞黏附性差,形成的实性和假乳头状结构,缺乏特定的胰腺上皮分化。1959年由Frantz等首次报道,并将其命名为胰腺乳头囊性肿瘤,2000版WHO将该肿瘤其分为交界性肿瘤和实性假乳头状癌,而2010版WHO则重新定义,并且将其直接归入恶性肿瘤。
ICD-O编码:8452/3
 
2.临床特征:
胰腺实性假乳头状肿瘤是好发于女性的罕见肿瘤,尤其多见于青春期少女及孕龄期妇女,占胰腺外分泌肿瘤的2.7%和胰腺囊性肿瘤的5%。缺乏特异的临床症状,常见上腹不适、恶心、呕吐、腹部可触及肿块或急腹症,临床实验室检查肿瘤标志物正常。
3.影像学特征:
CT显示胰腺实性假乳头状肿瘤典型表现为边界清楚、不均匀的肿块,外观从实性到囊性成分不等,偶见出血和/或钙化。增强CT扫描,实质部分呈渐进性强化是其特征性表现。
4.大体表现
肿瘤大多位于胰头和胰体,少部分位于胰尾部,大多肿瘤界限清楚,有完整或不完整的包膜,直径1~17 cm,切面实性,灰黄、灰红色,质软,质地细腻,肿瘤常伴有囊性变,囊内见出血及坏死。
5.组织学表现:
肿瘤具有厚薄不一的纤维性包膜及多样的组织学结构,由实性区域(最常见)、囊性区域、假乳头区域、退变区域及出血区域按照不同比例混合而成,间质常伴有黏液变性。实性区域呈实性片状、大小不一的实性巢状。囊性区域常有内部肿瘤细胞退变脱落后形成,囊腔大小不等。假乳头状区为分支状乳头,含纤维血管轴心,乳头表面被覆数层肿瘤细胞,细胞黏附性较差,细胞脱落。肿瘤细胞形态大小较一致,胞质丰富嗜伊红,细胞核卵圆形,部分可见核沟,无明显核仁,核分裂象罕见,其形态类似神经内分泌肿瘤细胞。少数病例可伴有高级别转化,高级别区域细胞核分裂易见,Ki-67增殖指数高。
诊断要点归纳:年轻女性+胰头、胰体囊实性肿物+实性,乳头状及囊性变区域+乳头表面细胞黏附性差,易脱落+大小一致的低级别细胞+核沟+免疫组化CD10阳性,β-catenin核阳性+神经内分泌标记物阳性(CgA除外)。
6.免疫表型
肿瘤细胞表达Vimentin、β-catenin(核+)、E-cadherin、Syn、NSE、CyclinD1、CD10、CD56、PR,部分可表达TFE3。不表达CgA、EMA、AFP等。Ki-67增殖活性低。
推荐使用β-catenin、E-cadherin、CD10、CD56、CgA、Vimentin等作诊断的核心抗体。
 
7.分子检测:
分子遗传学方面,SPNs的特征是外显子3(约90%的病例)中CTNNB1的体细
胞激活突变,如果术前进行分子囊液分析,则可作为可靠的标记物。突变导致β
-catenin在细胞核中异常积聚,随后激活Wnt/β-catenin信号通路。。
 
8.预后:
胰腺实性假乳头状肿瘤属于低度恶性肿瘤,临床手术完整切除预后好,较少复发或远处转移。少部分病例可伴有高级别转化,转移率高,预后较差。
 
9.鉴别诊断:
1. 神经内分泌肿瘤(低级别):两者在组织学及免疫组化表型高度相似,常表现为巢状、条索状、菊形团或假腺样,间质血管丰富。肿瘤细胞均大小一致,核呈圆形或卵圆形,胞质嗜酸或空泡状,染色质细腻,核分裂罕见。但实性假乳头状肿瘤常有核沟或凹陷。免疫组化神经内分泌标记均阳性表达,但实性假乳头状肿瘤不表达CgA,且CD10,TFE3,β-catenin核阳性具有重要鉴别意义。
2. 腺泡细胞癌:起源于胰腺腺泡细胞或者终末分支胰管,恶性程度高,预后差。好发于老年男性,最常见于胰头。镜下肿瘤排列成腺泡状、实性巢状、筛状、梁索状或者腺管状,肿瘤细胞被纤维组织分隔呈不规则结节状。肿瘤细胞异型性不明显,呈圆形,胞质嗜酸颗粒状,核分裂象多少不等,部分细胞可见明显的核仁,肿瘤间质血管丰富,可见肿瘤性坏死,神经侵犯易见。免疫组化表达CK8,CK18,a1抗胰蛋白酶、胰蛋白酶、糜蛋白酶可呈阳性,神经内分泌标记物仅为灶状阳性表达。
3. 胰母细胞瘤:主要见于儿童,尤其10岁以下,男童多见,肿瘤具有明显的腺泡分化,可有不同程度的内分泌和导管分化,瘤细胞为比较一致的多角形细胞,形成巢状、条索状、管状或腺泡状结构,具有特征性的鳞状小体。部分病例AFP升高。
 
参考文献:
[1] Mazzarella G, Muttillo EM, Coletta D, et al. Solid pseudopapillary tumor of the pancreas: A systematic review of clinical, surgical and oncological characteristics of 1384 patients underwent pancreatic surgery. Hepatobiliary Pancreat Dis Int. 2024 Aug;23(4):331-338. .
[2] 闫凯峰,刘宏.胰腺实性假乳头状肿瘤的临床特征[J].临床与病理杂志,2024,44(01):23-30.
[3] 曹钟,魏建国,岑红兵,等.胰腺实体-假乳头状肿瘤32例临床病理分析及TFE3表达的诊断价值[J].临床与实验病理学杂志,2021,37(02):162-166.
 

[责任编辑:zh025]

分享到