banner

套细胞淋巴瘤,母细胞样亚型

2023-10-18 14:27

病例信息:女性,55岁,发现左颈部淋巴结肿大,B超提示颈部、腋窝、腹股沟及腹腔淋巴结肿大,部分融合,形态异常。
大体所见:灰白色不整形组织一枚,体积:2.5cm×2.0cm×1.0cm。
镜下形态:


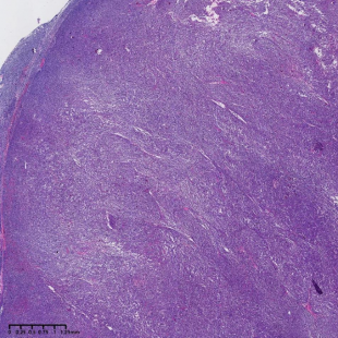
图1:低倍镜下,淋巴结正常结构破坏,淋巴样细胞弥漫分布,局部呈结节状,可见瘤细胞侵犯淋巴结被膜。


图2:中倍镜下,瘤细胞形态较为一致,核小至中等大小,核不规则,肿瘤内部可见血管壁玻璃样变性。


图3:局部区域瘤细胞增大,核不规则,核染色质细,核分裂象增多,局部可见核仁。

免疫组化结果:
肿瘤细胞弥漫性表达CD20、BCL2、cyclinD1和SOX11,CD43(+)、CD5(+);CD21显示FDC网破坏、而肿瘤细胞呈BCL6(-)、CD10(-)、CD3(-)、MUM1(-)、CD30(-)。Ki67增殖指数高达70%。



图4:肿瘤细胞弥漫表达CD20。


图5:肿瘤细胞表达BCL2。


图6:肿瘤细胞表达Cyclin D1,且勾勒出结节状的分布模式。


图7:肿瘤细胞表达SOX11。


图8:肿瘤细胞增殖指数高,约70%。

病理诊断:套细胞淋巴瘤,母细胞亚型。
讨论
 
定义:套细胞淋巴瘤(Mantle cell lymphoma,MCL)是一种起源于淋巴滤泡套区的成熟B细胞肿瘤,通常由表达CD5、SOX11和Cyclin D1的小至中等大小的单形性细胞组成。它与CCND家族重排有关,最常见的是CCND1基因重排。ICD-O编码为9673/3。

【好发部位】
MCL通常累及淋巴结,但结外受累也常见,尤其是韦氏环、胃肠道、脾脏和骨髓。胃肠道受累可表现为多发息肉样病变。其他可能受累的器官包括皮肤、内分泌腺、肺和中枢神经系统,最常作为复发性疾病发生。

【流行病学】
MCL占B细胞淋巴瘤的3-10%,发病年龄中位数为68-69岁,男女比例约为3-4:1。

【临床表现】
大多数患者表现为外周淋巴结肿大。脾肿大和骨髓受累常见。胃肠道受累可伴有腹泻、体重减轻或出血。极少情况下,具有侵袭性组织学亚型的MCL患者的临床表现类似于急性淋巴母细胞白血病或伴有严重血细胞减少和/或器官压迫的侵袭性淋巴瘤。MCL可能很少表现为累及结外部位的局限性(I/II期)疾病,类似结外边缘区淋巴瘤。在手术中偶然发现的MCL,尤其是泌尿生殖系统和消化道的MCL,通常为原位套细胞肿瘤(ISMCN)。

【大体特征】
取决于病变部位,在广泛累及胃肠道的病例中显示为多发性息肉样病变(以前被称为“多发性淋巴瘤性息肉病”)。

【组织病理学】
MCL表现为弥漫性、结节性和很少的套区生长模式,并有各种细胞学亚型,包括母细胞样、多形性、小细胞样和边缘区样,这些形态学亚型也可能同时出现。具有套区生长模式的MCL需要与原位套细胞肿瘤相鉴别。
MCL细胞学的特征是小到中等大小的细胞,核轮廓略不规则,细胞质稀少。核染色质不规则、分散,核仁不明显。不同病例的核分裂和增殖指数可以有很大差异。多形性和母细胞样亚型通常核分裂和增殖指数升高。在初次诊断和复发之间,细胞学和生长模式可能不同,复发时趋向于更高增殖的变异。
MCL的背景由低至中等数量的T细胞、玻璃样变小血管和散在的上皮样组织细胞混合组成。存在数量可变的滤泡树突细胞,通常与套区或结节状模式相关。高度增生的MCL可因可染巨噬细胞增多而呈星空现象。


图9:套细胞淋巴瘤;排列模式:套区型。


图10:套细胞淋巴瘤;排列模式:结节状。


图11:套细胞淋巴瘤;排列模式:弥漫型。


图12:套细胞淋巴瘤,母细胞亚型

【免疫表型】
MCL表达全B细胞标志物(CD19、CD20、CD22、CD79a)。免疫球蛋白表达强度(IgM/IgD和lambda>Kappa),通过流式细胞术检测为中等到强。CD5、FMC7和CD43通常为阳性,而CD10或BCL6的表达罕见,但更常见于侵袭性亚型。流式细胞术检测约10%的病例CD23弱阳性;CD23也标记淋巴瘤微环境中的滤泡树突细胞。流式细胞术检测CD200表达缺失有助于区分MCL和慢性淋巴细胞白血病(CLL) 。由于CCND1重排,在95%的MCL中检测到cyclin D1的表达。SOX11在90%的MCL中可检测到,并有助于识别CD5-或cyclin D1阴性的MCL 。然而,SOX11对MCL没有特异性,它也可能在其他淋巴肿瘤中表达,如淋巴母细胞淋巴瘤、伯基特淋巴瘤和毛细胞白血病。LEF1更可能见于母细胞样或多形性MCL。
Cyclin D1阴性的MCL缺乏Cyclin D1的表达和CCND1重排。大约一半的病例有CCND2的重排,其余的病例有导致Cyclin D2或Cyclin D3表达的其他遗传改变。与Cyclin D1相反,Cyclin D2和D3在正常淋巴细胞中表达,因此也在起源于相应发育阶段淋巴细胞的其他小B细胞淋巴瘤中观察到。CD5、SOX11和p27的表达有助于鉴别cyclin d1阴性MCL。

【鉴别诊断】
1、淋巴母细胞性淋巴瘤:肿瘤弥漫浸润,瘤细胞形态较一致,圆形,部分扭曲,核分裂数易见,瘤组织内网状纤维较细,一般无血管壁的玻璃样变性。免疫组化方面:TDT阳性,cyclinD1阴性。
2、滤泡性淋巴瘤(I级):肿瘤呈结节状,瘤细胞以中心细胞为主,中心母细胞较少,与套细胞淋巴瘤难以鉴别,核分裂不多见。免疫表型:CD10、BCL6阳性;cyclinD1阴性。
3、结内边缘区B细胞淋巴瘤:瘤细胞形态较为一致,瘤组织间夹杂数量不等的母细胞,核形相对规则,当肿瘤以边缘区增生为主时,与套细胞淋巴瘤鉴别困难。免疫组化方面,瘤细胞不表达CD5、cyclinD1。

【分子遗传学】
在具有典型形态和免疫表型的肿瘤中,Cyclin D1在细胞核内的弥漫表达足以确认诊断。如果形态学或免疫表型不符合MCL,则建议检测CCND1重排或IGH::CCND1易位,并进行更多的免疫组化检测,以排除可能表达Cyclin D1的淋巴瘤。在Cyclin D1表达缺失和CCND1重排缺失的情况下,检测CCND2易位可确诊Cyclin D1阴性MCL。TP53 突变分析可能有助于确定高危MCL的病例。

【预后及预测因素】
MCL曾被认为是无法治愈的疾病。然而,在目前的治疗方法下,中位总生存期从3年显著提高到5 ~ 10年以上,部分患者可能最终被治愈。已经评估了多种预后标志物,其中一些已经建立并可能应用于日常实践。值得注意的是,这些预后生物标志物只适用于传统MCL。由于cyclin d1阴性MCL罕见,因此尚不确定预后标志物是否也适用于这一亚型。据报道,表现为孤立或主要结外表现的MCL比结内MCL有更好的预后。

【参考文献】
1. WHO Classification of Tumours, 5th edition: Haematolymphoid Tumours.Morello L, Rattotti S, Giordano L, et al. Mantle Cell Lymphoma of Mucosa-Associated Lymphoid Tissue: A European Mantle Cell Lymphoma Network Study. Hemasphere. 2020 Feb;4(1):e302.
2. Zhao S, Kanagal-Shamanna R, Navsaria L, et al. Efficacy of venetoclax in high risk relapsed mantle cell lymphoma (MCL) - outcomes and mutation profile from venetoclax resistant MCL patients. Am J Hematol. 2020 Jun;95(6):623-629.
3. Nadeu F, Martin-Garcia D, Clot G, et al. Genomic and epigenomic insights into the origin, pathogenesis, and clinical behavior of mantle cell lymphoma subtypes. Blood. 2020 Sep;136(12):1419-1432.
4. Hill HA, Qi X, Jain P, et al. Genetic mutations and features of mantle cell lymphoma: a systematic review and meta-analysis. Blood Adv. 2020 Jul;4(13):2927-2938.
5. Li S, Xu J, You MJ. The pathologic diagnosis of mantle cell lymphoma. Histol Histopathol. 2021 Oct;36(10):1037-1051.

[责任编辑:chenxm]

分享到