banner

肉瘤样嫌色肾细胞癌罕见病例报道一例

2022-07-27 17:17

一、临床资料
临床表现:63岁女性,主诉无痛性肉眼血尿3个月。尿常规示尿蛋白++,白细胞+++;血清CA153中度升高,为71.08 U/mL(正常< 28U/mL)。
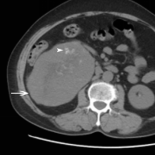
影像学资料:超声和计算机断层扫描显示右肾下极有一个肿块,大小为13.4×15.4×11.4 cm。
治疗:右肾根治术及淋巴结清扫术,术后12个月无复发和淋巴结肿大。
二、组织病理资料
大体肉眼观察:手术切除的肾脏被一分为二,肾下极可见一个肿块,大小为14×10×7 cm。切面主要是实性和多彩色。肿瘤大部分呈橘红色,局灶有淡黄色区域,伴坏死、出血和下部见灰白色区(肉瘤样区域)
显微镜下:上皮成分细胞轮廓清晰,丰富的淡色颗粒状嗜酸性细胞质,核周有空晕。梭形肉瘤样细胞在分化良好的上皮样细胞巢中呈条束状排列,分化较差,细胞呈多形性,并见大的异型细胞。
免疫组化:上皮样成分表达CK和CD117,梭形细胞成分弱表达CKpan,强阳性表达CD68和vimentin。本例主要免疫组化结果见表1.




免疫组化:(A)嫌色肾细胞癌(ChRCC)成分panCK为强阳性染色的,而肉瘤样成分为弱阳性;(B)上皮成分CD117胞膜阳性;(C)梭形细胞呈强CD68阳性,点样染色;(D)肉瘤样区vimentin强阳性。
注意:肉瘤样成分具有CD68核点样染色的多形性细胞,易误诊断为未分化多形性肉瘤。
最终诊断
(右肾)肉瘤样嫌色肾细胞癌
讨论
嫌色肾细胞癌(Chromophobe renal cell carcinoma ,ChRCC)作为一种罕见的肾细胞癌(renal cell carcinomas, RCCs)亚型在1985年首次被描述,已被认识超过30年,占肾脏细胞癌 5.9%,且5年和10年癌症特异性生存率分别为78%-100%和80%-90%,然而肉瘤样嫌色肾细胞癌是一种罕见的肿瘤,其特征为双向分化,同时含有经典的上皮成分和肉瘤样成分,肉瘤样分化的ChRCC通常预后较差。并且肉瘤样成分多样,可类似纤维肉瘤、骨肉瘤、软骨肉瘤、恶性纤维组织细胞瘤或未分化肉瘤形态。肉瘤样成分的百分比可能因病例而异。
组织病理形态:具有上皮样成分和肉瘤样成分。肉瘤样成分表现为高度多形性的梭形细胞以及多核巨细胞,排列呈不规则的漩涡状或条纹状,似恶性纤维组织细胞瘤,有的由单一形态的长梭形细胞组成,核分裂象多见,似纤维肉瘤。
免疫组化:切片中两种或几种恶性成分分别表达上皮来源标记物如角蛋白(cytokeratin)或上皮膜抗原(epithelial membrane antigen,EMA)与间叶组织标记物如波形蛋白(vimentin)。肉瘤样成分根据不同分化表达不同肉瘤样成分。如骨肉瘤、软骨肉瘤、骨巨细胞瘤成分表达标记物骨连结蛋白(osteronectin)、S-100,血管肉瘤、恶性未分化平滑肌肉瘤样或横纹肌肉瘤样肌分化表达标记物SMA,desmin。
主要鉴别诊断:
肾脏平滑肌肉瘤: 是一种起源于肾包膜、肾盂或肾血管等处的平滑肌组织,或来源于具有向平滑肌细胞分化能力组织的少见恶性间叶性肿瘤。大多数肿瘤最大直径>10cm,外观呈灰白色,鱼肉状,质细腻,部分可见坏死囊变并伴有出血灶,肾实质及肾周包膜常常受侵犯。镜下肿瘤由梭形细胞呈束状编织排列,细胞质嗜伊红,胞核呈梭形且异型性明显。免疫组织化学染色显示 Desmin、Vimentin、及 SMA 均呈阳性表达。
肾滑膜肉瘤:呈双相分化,上皮和梭形细胞有过渡,其上皮成分可呈靴钉样排列,胞质嗜酸而似被卷入的肾小管,梭形成分可有血管外皮瘤样排列,表达BCL2、CD99,必要时可做SYT一SSX融合基因检测
成人型肾母细胞瘤:占肾实质性肿瘤的0.5%。在成人,肾母细胞瘤的恶性程度较高。以间叶组织为主型肾母细胞瘤有三种主要成分,包括未分化的肾胚芽组织、间叶组织和上皮组织, 间叶成分形态温和、分裂象罕见,免疫特异表达WT-1。
治疗:目前仍以根治性肾癌切除术为主。
综上所述,肉瘤样ChRCC是一种不常见的肿瘤,肉瘤样ChRCC是ChRCC向高恶性度转化的一种组织病理学上的改变, 其特点是具有典型上皮成分和肉瘤样成分的双向分化的肿瘤。肉瘤样ChRCC预后较典型ChRCC差。认识到ChRCC的肉瘤样改变具有侵袭性和转移的潜力是很重要的。
参考文献:
1.Bian L, Duan J, Wang X, Yang Y, Zhang X, Xiao S. Sarcomatoid Chromophobe Renal Cell Carcinoma: A Case Report and Review of the Literature. Am J Case Rep. 2019 Aug 19;20:1225-30.
2.Al Ghamdi MH, Al Shabyli NA, Alayed A: Chromophobe renal cell carcinoma presenting as a cystic renal mass: Case report and review of the literature.Am J Case Rep, 2019; 20(1): 631–34
3.Amin MB, Paner GP, Alvarado-Cabrero I et al: Chromophobe renal cell carcinoma:Histomorphologic characteristics and evaluation of conventional pathologic prognostic parameters in 145 cases. Am J Surg Pathol, 2008;32(12): 1822–34

[责任编辑:dengying]

分享到